Ein komplexes Geschehen
 
 
Der Kummer mit den „offenen Beinen“ ist leider weitverbreitet. Betroffen sind häufig ältere Menschen, bei denen sich das venöse Ulkus in einem jahrelangen, schleichenden Prozess entwickelt. Eine zunehmende Bewegungseinschränkung, arterielle Begleiterkrankungen oder Demenzerkrankungen erschweren daher nicht selten die Therapie – sollten aber nicht zum Anlass genommen werden, sich dem „Schicksal“ einfach zu ergeben.
Durch moderne Diagnoseverfahren und Behandlungskonzepte ist das venöse Ulkus heute mit Geduld und guter Zusammenarbeit aller Beteiligten durchaus beherrschbar. Erfahren Sie mehr über die Ursachen und die Behandlung des weit verbreiteten Venenleidens.
Wie entsteht ein venöses Beingeschwür?
Innerhalb des Blutkreislaufes haben die Venen zwei wichtige Aufgaben zu erfüllen: Sie transportieren das Blut nach dem Stoffaustausch in den Zellen der Gewebe und Organe zum Herzen zurück und sorgen für die Regulierung der kreisenden Blutmenge. Dabei stellt der Rücktransport des Blutes aus den Beinen eine gewisse Schwachstelle im System dar, weil das Blut bei aufrechter Haltung des Menschen gegen die Schwerkraft, quasi bergauf zum Herzen zurückfließen muss.
Um diese Aufgabe trotzdem zu bewältigen, verfügen alle Venen über „Venenklappen“, die wie Ventile funktionieren und dafür sorgen, dass das Blut nur in eine Richtung, nämlich herzwärts fließen kann. Die Grafik zeigt einegesunde Vene [A], eine offene Venenklappe [B] und eine geschlossene Venenklappe [C]. Durch das Zusammenspiel von geschlossenen und offenen Venenklappen wird ein Zurücksacken des Blutes verhindert. Dabei erhalten die Venenklappen Unterstützung durch die „Wadenmuskelpumpe“. Bei Bewegung spannt und entspannt sich die Wadenmuskulatur in einem rhythmischen Wechsel, wodurch auch die Venen zusammengepresst werden und das Blut nach oben – herzwärts – gedrückt wird.
Erweitern sich jedoch die Venen krankhaft, beispielsweise durch Krampfadern, oder verlieren sie an Elastizität durch Thrombosen, werden davon auch die Venenklappen in Mitleidenschaft gezogen: Sie können nicht mehr schließen. Damit ist der ordnungsgemäße Rücktransport des Blutes zum Herzen gestört. Das Blut sackt zurück und staut sich in den unteren Beinabschnitten, zunächst vor allem in der Knöchelgegend.

 
 
 
Vom Blutstau zur venösen Insuffizienz
Durch den Blutstau ergibt sich eine riskante Druckerhöhung im Hautgewebe, die einen geregelten Stoffaustausch im Kapillarbereich behindert. Der Kapillarbereich ist ein Bereich mit feinsten Blutgefäßen, in dem der Austausch von Blut, Sauerstoff und Nährstoffen stattfindet.
Die zunehmende Druckerhöhung hat aber auch zur Folge, dass Flüssigkeit und Endprodukte des Stoffwechsels nicht mehr abtransportiert werden können. Sie sammeln sich im Hautgewebe an und bewirken dort eine zunehmende Versumpfung. Erstes Anzeichen dafür ist eine Wasseransammlung, ein Ödem, das die Stoffwechselstörungen durch weitere Druckerhöhungen noch verstärkt. Es kommt zu Entzündungsprozessen, die als verschiedene Hautveränderungen auch äußerlich langsam sichtbar werden, bis schließlich „ein Geschwür ausbricht“, wie dieser Vorgang umgangssprachlich bezeichnet wird.
Die klinischen Erscheinungsbilder dieser unheilvollen Entwicklung werden unter dem Begriff der chronisch venösen Insuffizienz (CVI) zusammengefasst. Der Begriff „Insuffizienz“ bedeutet die eingeschränkte Funktion eines Organ(system)s und beschreibt im Falle der CVI die bereits stark eingeschränkte Funktionsfähigkeit des Venensystems. Die CVI wird üblicherweise (nach Widmer) in drei Schweregrade unterschieden.

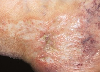
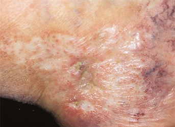
Oft bestehen venöse Ulzera monatelang und werden mit Salben, Tinkturen oder sogar Hausmitteln behandelt. Für den Patienten steigt damit die Gefahr für verschiedene Hautveränderungen wie Stauungsdermatitiden und Kontaktekzeme. Die Abbildung zeigt ein solches Kontaktekzem in einer besonders schweren Verlaufsform.
Eine exakte Diagnosestellung, die eine Therapie sicherer macht, ist besonders wichtig bei älteren Patienten. Hier bestehen in der Regel mehrere Erkrankungen gleichzeitig, was als Multimorbidität bezeichnet wird. Vor allem arterielle Gefäßleiden und Diabetes mellitus können zu arteriellen und diabetischen Beinwunden führen, die dann spezielle Therapien erfordern. Oft ergeben sich auch arteriell-venöse Mischulzera, die ebenfalls gezielt behandelt werden müssen.
Leiden Sie selbst oder der Ihnen anvertraute pflegebedürftige Angehörige an einem venösen Ulkus, ist dringend zu empfehlen, über eine Überweisung durch den Hausarzt einen Facharzt und Spezialisten für Venenerkrankungen, einen Phlebologen aufzusuchen. Die anfänglichen Untersuchungen sind auch älteren Menschen zuzumuten, weil sie unkompliziert und schmerzlos sind. Insbesondere gilt die schmerzlose Ultraschall-Doppler-Untersuchung heute als zuverlässiges Routineverfahren, um das Vorhandensein und die Ausdehnung von Klappeninsuffizienzen genau zu bestimmen.

 
 
Weitere wichtige Anzeichen, die auf bereits größere Störungen im Venensystem hindeuten, sind „Warnvenen“ und weißliche Hautveränderungen im Knöchelbereich. Die Warnvenen, medizinisch als Corona phlebectatica paraplantaris bezeichnet, sind besenreiserartig veränderte Venen(netze) im Bereich von Innen- und Außenknöchel, verursacht durch Abflussstörungen im Bereich der tiefen Venen. Sie zählen zum Schweregrad I der CVI.
Die Ausbildung weißer, münz- bis handtellergroßer Areale im Knöchelbereich ist die Folge entzündlicher Prozesse in der Haut. Sie werden in der Fachsprache als „Atrophie blanche“ bezeichnet, wobei „Atrophie“ den Gewebeschwund durch die Stoffwechselstörung beschreibt und „blanche“ für das Weiße der Hautveränderung steht. Die Atrophie blanche ist bereits dem Schweregrad II der CVI zugeordnet. Die CVI entwickelt sich zunehmend zu einer schweren Krankheit, und muss umgehend diagnostiziert und behandelt werden!
 
 
Weitere wichtige Informationen und Tipps:
Vereinfacht ausgedrückt kann ein venöses Ulkus nur dann abheilen, wenn das Ödem abgeklungen bzw. ausgeschwemmt ist und die Strömungshindernisse im Venensystem soweit beseitigt sind, dass der venöse Abfluss im Bein wieder in Gang kommt. Diese Therapieziele können im Wesentlichen erreicht werden
Hinweise zur medikamentösen Therapie: Es wäre schön, wenn sich Venenleiden einfach durch Medikamente heilen ließen. Dies ist aber leider nicht der Fall.
Die Therapie mit Venenpharmaka soll vor allem zur Entstauung von Ödemen beitragen und damit die Kompressionsbehandlung unterstützen. Diuretika können zum Beispiel in der Anfangsphase kurzfristig zur Ausschwemmung lokaler Ödeme eingesetzt werden. Venentonisierende Pharmaka sollen eine Verringerung des Venenquerschnittes bei gleichzeitiger Zunahme der Strömungsgeschwindigkeit bewirken. Sog. Ödemprotektiva haben als Therapieziel, über eine Beeinflussung der kapillaren Gefäßwände den vermehrten Übertritt von Flüssigkeit in das Gewebe einzudämmen. Immer aber gilt: Die Anwendung der verschiedenen Pharmaka muss vom Arzt angeordnet sein und Pharmaka können eine Kompressionstherapie niemals ersetzen.
Das sollten Sie wissen
Grundsätzlich wird der Arzt anordnen, wie das Ulkus zu behandeln ist und entsprechend dazu die passenden Verbandstoffe und Hilfsmittel verordnen. Da es jedoch meist eine sehr langwierige Angelegenheit ist, einen Ulkus abzuheilen, ist von großem Nutzen, wenn auch Sie über die Möglichkeiten der heutigen modernen Wundbehandlung Bescheid wissen.
Das Ulcus cruris venosum ist eine chronische Wunde, die nach heutigem Standard „feucht“ behandelt wird. Die feuchte Wundbehandlung mithilfe sogenannter „hydroaktiver Wundauflagen“ ist eine sehr effiziente Methode zum Aufweichen und Ablösen von abgestorbenem (nekrotischem) Gewebe und fibrinösen Belägen. Sie bewirkt in der Wunde ein heilungsförderndes, feuchtes Mikroklima, schont heilungsfördernde Substanzen und Zellen auf der Ulkusoberfläche, fördert die Bildung von Granulationsgewebe (das ist das Gewebe, das den Hautdefekt auffüllen soll) und den Wundverschluss durch Epithelien (das ist die oberste Zellschicht, die wir als „Haut“ wahrnehmen). Außerdem wirkt die feuchte Wundbehandlung schmerzlindernd und auch der Verbandwechsel verläuft weniger schmerzhaft, weil hydroaktive Wundauflagen in der Regel nicht mit der Wunde verkleben.
Hydroaktive Wundauflagen stehen heute in den verschiedensten Produktvarianten zur Verfügung. Deshalb ist eine feuchte Wundbehandlung auch im ambulanten Behandlungs- und Pflegebereich mit relativ wenig Aufwand sicher und einfach durchführbar.
Hier einige Tipps zur feuchten Wundbehandlung, die zur schnelleren Heilung des venösen Ulkus beitragen soll.
Ist der Wundgrund sauber und gut durchblutet, wird sich Granulationsgewebe ausbilden – immer vorausgesetzt, dass auch die Rückflussstörung durch eine entsprechende Kompressionstherapie behandelt wird.
Das Granulationsgewebe reagiert sehr empfindlich auf alle äußeren Einflüsse und Störungen und ist deshalb so schonend wie möglich zu behandeln. Eine frisch-rote Granulation muss nicht mehr gereinigt oder gespült werden und benötigt weder Salben noch Puder zur angeblichen Granulationsförderung. Sie braucht jetzt nur eine Pflege: ein permanentes Feuchthalten durch geeignete hydroaktive Wundauflagen. Trocknet die Wunde aus, trocknen auch die neugebildeten Zellen aus und sterben ab. Es bildet sich neues nekrotisches Gewebe und das Ulkus wird wieder in die Reinigungsphase zurückgeworfen.
Die Überhäutung der Wunde vom Wundrand her durch Epithelzellen bringt die Wundheilung zum Abschluss. Aber damit sich die Epithelzellen teilen und über die Wundfläche wandern können, brauchen sie als Gleitfläche ein feuchtes Granulationsgewebe. Deshalb bietet die feuchte Wundbehandlung auch in der sogenannten Epithelisierungsphase beste Heilungsvoraussetzungen.
Durch den oft langen Heilungsverlauf neigen die Wundränder chronischer Ulzera allerdings dazu, sich nach innen einzustülpen. Da dann vom Wundrand aus keine weitere Epithelisierung mehr stattfinden kann, ist ggf. ein „Anfrischen“ der Wundränder mit dem Skalpell oder einer scharfen Schere angezeigt. Ein solches Anfrischen wird immer vom Arzt unter sterilen Bedingungen durchgeführt.